Guerbet, spécialiste mondial des produits de contraste et solutions pour l’imagerie médicale diagnostique et interventionnelle, annonce aujourd’hui la signature d’un accord conjoint exclusif relatif au développement d’une solution logicielle d’intelligence artificielle avec IBM Watson Health pour aider au diagnostic par imagerie Scanner et IRM, et au traitement du cancer du foie.
A travers ce partenariat, Guerbet et IBM Watson Health prévoient de co-développer des solutions innovantes d’aide à la décision clinique. La première, Watson Imaging Care Advisor[1] for Liver, a pour but d’être un outil d’aide au diagnostic qui utilisera l’intelligence artificielle pour automatiser la détection, la caractérisation, le suivi, la surveillance, la prédiction de la réponse thérapeutique du cancer du foie primaire et secondaire. Les équipes de recherche d’IBM participeront aussi au développement des solutions en tirant parti de leurs précédents travaux.
Le cancer du foie, seconde cause mondiale de décès par cancer dans le monde[2], est également la cause de décès par cancer avec la plus forte croissance aux Etats-Unis[3]. Environ 83% des cas de cancer du foie primaire surviennent dans les pays en développement[4].
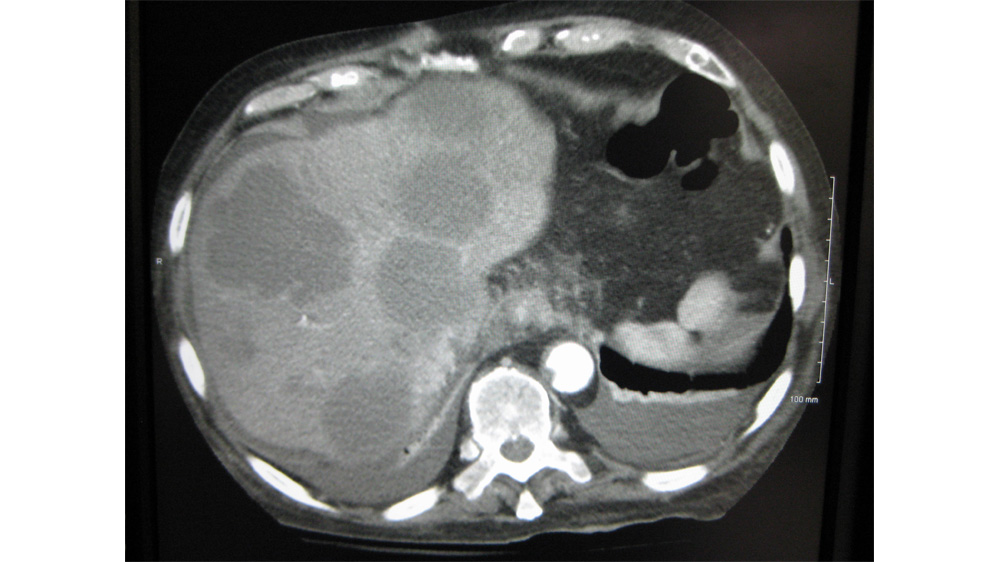
La plupart des cancers du foie primaire sont diagnostiqués par imagerie, mais cela reste un diagnostic complexe. Le foie est également un foyer très fréquent de métastases, en particulier dans le cas des cancers digestifs, dans lesquels près de 50% des patients développent des métastases[5]. Une meilleure caractérisation ainsi qu’une identification précoce de ces métastases peuvent augmenter les chances de guérison.
« Le cancer du foie est un problème de santé de plus en plus répandu à l’échelle mondiale, et l’utilisation de l’intelligence augmentée par les experts de l’imagerie médicale offre l’opportunité de faire face à ce défi. Nous sommes fiers de collaborer avec IBM Watson Health pour développer une solution dédiée aux pathologies du foie, qui pourrait permettre de caractériser les tissus sans recourir à la biopsie », a déclaré Yves L’Epine, Directeur Général de Guerbet.
Care Advisor for Liver sera compatible avec tout système de visualisation PACS (Picture Archiving and Communication System), ce qui facilitera son intégration directe dans les flux de travail des professionnels de santé.
« L’imagerie est un domaine critique des soins de santé dans lequel nous croyons que l’intelligence artificielle peut être utilisée pour élargir la vision des médecins afin qu’ils aient une plus grande confiance dans leurs décisions de diagnostic et de traitement pour leurs patients. Nous sommes ravis de réunir l’expertise significative d’IBM et de Guerbet pour faire avancer l’innovation dans ce domaine de première importance, et finalement aider à combattre le défi qu’est le cancer du foie à l’échelle mondiale », a déclaré Silvano Sansoni, Directeur général, Ventes, IBM France.
Watson Imaging Care Advisor for Liver fera partie d’une gamme d’outils d’aide à la décision basés sur l’analyse d’image de Watson, pour aider au diagnostic et aux décisions cliniques des radiologues pour les patients.
« Nous nous réjouissons de collaborer avec IBM Watson Health sur le premier projet de Guerbet visant à mieux assister les radiologues grâce l’intelligence augmentée. Cela nous aidera à développer nos capacités en IA pour proposer des solutions innovantes améliorant les parcours de soin », a déclaré François Nicolas, Chief Digital Officer chez Guerbet.
[1] Le nom de produit Care Advisor n’a pas encore été officiellement approuvé.
[2] http://www.who.int/news-room/fact-sheets/detail/cancer
[3] http://pressroom.cancer.org/LiverCancer2017
[4] https://www.wcrf.org/int/cancer-facts-figures/data-specific-cancers/liver-cancer-statistics
[5] https://www.sciencedirect.com/science/article/pii/S2211568414000941
A travers ce partenariat, Guerbet et IBM Watson Health prévoient de co-développer des solutions innovantes d’aide à la décision clinique. La première, Watson Imaging Care Advisor[1] for Liver, a pour but d’être un outil d’aide au diagnostic qui utilisera l’intelligence artificielle pour automatiser la détection, la caractérisation, le suivi, la surveillance, la prédiction de la réponse thérapeutique du cancer du foie primaire et secondaire. Les équipes de recherche d’IBM participeront aussi au développement des solutions en tirant parti de leurs précédents travaux.
Le cancer du foie, seconde cause mondiale de décès par cancer dans le monde[2], est également la cause de décès par cancer avec la plus forte croissance aux Etats-Unis[3]. Environ 83% des cas de cancer du foie primaire surviennent dans les pays en développement[4].
La plupart des cancers du foie primaire sont diagnostiqués par imagerie, mais cela reste un diagnostic complexe. Le foie est également un foyer très fréquent de métastases, en particulier dans le cas des cancers digestifs, dans lesquels près de 50% des patients développent des métastases[5]. Une meilleure caractérisation ainsi qu’une identification précoce de ces métastases peuvent augmenter les chances de guérison.
« Le cancer du foie est un problème de santé de plus en plus répandu à l’échelle mondiale, et l’utilisation de l’intelligence augmentée par les experts de l’imagerie médicale offre l’opportunité de faire face à ce défi. Nous sommes fiers de collaborer avec IBM Watson Health pour développer une solution dédiée aux pathologies du foie, qui pourrait permettre de caractériser les tissus sans recourir à la biopsie », a déclaré Yves L’Epine, Directeur Général de Guerbet.
Care Advisor for Liver sera compatible avec tout système de visualisation PACS (Picture Archiving and Communication System), ce qui facilitera son intégration directe dans les flux de travail des professionnels de santé.
« L’imagerie est un domaine critique des soins de santé dans lequel nous croyons que l’intelligence artificielle peut être utilisée pour élargir la vision des médecins afin qu’ils aient une plus grande confiance dans leurs décisions de diagnostic et de traitement pour leurs patients. Nous sommes ravis de réunir l’expertise significative d’IBM et de Guerbet pour faire avancer l’innovation dans ce domaine de première importance, et finalement aider à combattre le défi qu’est le cancer du foie à l’échelle mondiale », a déclaré Silvano Sansoni, Directeur général, Ventes, IBM France.
Watson Imaging Care Advisor for Liver fera partie d’une gamme d’outils d’aide à la décision basés sur l’analyse d’image de Watson, pour aider au diagnostic et aux décisions cliniques des radiologues pour les patients.
« Nous nous réjouissons de collaborer avec IBM Watson Health sur le premier projet de Guerbet visant à mieux assister les radiologues grâce l’intelligence augmentée. Cela nous aidera à développer nos capacités en IA pour proposer des solutions innovantes améliorant les parcours de soin », a déclaré François Nicolas, Chief Digital Officer chez Guerbet.
[1] Le nom de produit Care Advisor n’a pas encore été officiellement approuvé.
[2] http://www.who.int/news-room/fact-sheets/detail/cancer
[3] http://pressroom.cancer.org/LiverCancer2017
[4] https://www.wcrf.org/int/cancer-facts-figures/data-specific-cancers/liver-cancer-statistics
[5] https://www.sciencedirect.com/science/article/pii/S2211568414000941
Autres articles
-
IBM annonce Decision Intelligence, une solution basée sur l'IA générative pour automatiser les décisions critiques des entreprises
-
IBM annonce aujourd'hui les résultats de l’édition 2025 de son rapport annuel "Cost of a Data Breach" sur les coûts liés à une violation de données
-
En France, 70 % des organisations auront un Chief AI Officer d’ici deux ans
-
IBM accélère la révolution de l'IA générative d’entreprise avec des capacités hybrides
-
Étude IBM : Les dirigeants accentuent leur engagement en matière d'IA tout en faisant face aux défis de l'entreprise







