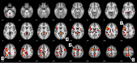
Ici, nous voyons les régions du cerveau qui montraient une différence statistiquement importante entre les patients atteints de schizophrénie et les patients qui ne le sont pas. Par exemple, la flèche 1 identifie la circonvolution frontale ascendante, ou le cortex moteur, et la flèche 5 indique le précuneus qui touche le traitement de l’information visuelle.
Des scientifiques d’IBM (NYSE : IBM) et l’Université de l’Alberta à Edmonton, Canada, ont publié de nouvelles données dans Nature’s partner journal, Schizophrenia1, démontrant que l’IA et des algorithmes d’apprentissage automatique ont contribué à prédire des instances de schizophrénie avec une précision de 74 %. Cette analyse rétrospective a également montré que la technologie a prédit la gravité de symptômes précis chez les patients atteints de schizophrénie avec une corrélation importante, fondée sur les relations entre les activités observées dans les différentes régions du cerveau. Cette recherche innovante pourrait également aider les scientifiques à identifier des marqueurs biologiques en neuroimagerie plus fiables et objectifs qui pourraient être utilisés pour prédire la schizophrénie et sa gravité.
La schizophrénie est un trouble neurologique débilitant et chronique qui touche 7 ou 8 personnes sur 1000. Les personnes schizophrènes peuvent vivre des hallucinations, des idées délirantes ou des troubles de la pensée, accompagnés de déficits cognitifs, par exemple, une incapacité à être attentif et des déficiences physiques comme des troubles du mouvement 2.
«Cette approche unique, innovante et multidisciplinaire procure de nouvelles connaissances et fait progresser notre compréhension de la neurobiologie de la schizophrénie, ce qui peut aider à améliorer le traitement et la gestion de la maladie», affirme le Dr Serdar Dursun, professeur de psychiatrie et de neurosciences de l’université de l’Alberta. «Nous avons découvert un nombre important de connexions anormales dans le cerveau qui peuvent être explorées dans le cadre d’études futures et grâce aux modèles créés par l’IA, nous franchissons un pas de plus vers la découverte de tendances objectives basées sur la neuroimagerie qui sont des marqueurs de diagnostics et de pronostics de la schizophrénie.»
Dans l’article les chercheurs ont analysé des données anonymisées d’imagerie par résonance magnétique fonctionnelle (IRMf) à partir de l’ensemble de données ouvert du Function Biomedical Informatics Research Network (fBIRN) , chez des patients atteints de schizophrénie et de troubles schizo-affectifs, de même que chez un groupe témoin en santé. L’IRMf mesure l’activité du cerveau par des échanges de flux sanguin dans des zones précises du cerveau. Plus particulièrement, l’ensemble de données du fBIRN reflète la recherche effectuée sur les réseaux cérébraux à différents niveaux de résolution à partir de données recueillies alors que les participants à l’étude effectuaient un test auditif commun. En examinant les scanographies de 95 participants, les chercheurs ont utilisé des techniques d’apprentissage automatique afin d’élaborer un modèle de schizophrénie qui détermine les connexions dans le cerveau qui sont le plus souvent associées à la maladie.
Ici, nous voyons les régions du cerveau qui montraient une différence statistiquement importante entre les patients atteints de schizophrénie et les patients qui ne le sont pas. Par exemple, la flèche 1 identifie la circonvolution frontale ascendante, ou le cortex moteur, et la flèche 5 indique le précuneus qui touche le traitement de l’information visuelle.
Les résultats de la recherche d’IBM et de l’Université de l’Alberta ont démontré que même avec les données de neuroimagerie les plus complexes recueillies de différents sites (de machines différentes, de différents groupes de sujets, etc.), l’algorithme d’apprentissage automatique était en mesure de faire une discrimination entre les patients atteints de schizophrénie et ceux du groupe témoin avec une précision de 74 % en utilisant les corrélations dans l’activité des différentes zones du cerveau.
De plus, la recherche a montré que la connectivité du réseau fonctionnel peut aussi aider à déterminer la gravité de plusieurs symptômes après leur manifestation chez le patient, y compris l’inattention, les comportements bizarres et le trouble de la pensée formel, de même que l’alogie (discours pauvre) et le manque de motivation. La prédiction de la gravité des symptômes peut mener à une caractérisation de la schizophrénie plus quantitative axée sur des mesures, en voyant la maladie sur un spectre, plutôt que par une étiquette binaire d’un diagnostic ou d’une absence de diagnostic. Cette approche d’analyse de la gravité objective et axée sur les données pourrait finalement aider les cliniciens à définir des plans de traitement personnalisés.
«L’objectif ultime de ces travaux de recherche est de déterminer et d’élaborer des mesures objectives et axées sur les données afin de définir les états mentaux et de les appliquer à des troubles psychiatriques et neurologiques», affirme Ajay Royyuru, vice-président, Santé et sciences de la vie, groupe Recherche IBM. «Nous espérons également offrir de nouvelles connaissances sur la façon dont l’IA et l’apprentissage automatique peuvent être utilisés afin d’analyser les troubles psychiatriques et neurologiques et d’aider les psychiatres à évaluer et à traiter les patients.»
L’initiative pour la recherche en critères par domaine (RDoC) du NIMH est axée sur l’importance des mesures objectives en psychiatrie. Ce domaine, souvent comparé à la «psychiatrie informatique», vise à utiliser la technologie moderne et des approches axées sur les données afin d’améliorer la prise de décision médicale fondée sur des faits en psychiatrie, laquelle se base souvent sur des approches d’évaluation subjective.
Dans le cadre du partenariat en cours, les chercheurs continueront d’étudier les zones et les connexions dans le cerveau qui ont un lien important avec la schizophrénie. Les travaux d’amélioration des algorithmes en menant des analyses par l’apprentissage automatique sur des ensembles de données plus vastes et en explorant des moyens d’élargir ces techniques vers d’autres troubles psychiatriques comme la dépression ou de trouble de stress post-traumatique continueront.
La schizophrénie est un trouble neurologique débilitant et chronique qui touche 7 ou 8 personnes sur 1000. Les personnes schizophrènes peuvent vivre des hallucinations, des idées délirantes ou des troubles de la pensée, accompagnés de déficits cognitifs, par exemple, une incapacité à être attentif et des déficiences physiques comme des troubles du mouvement 2.
«Cette approche unique, innovante et multidisciplinaire procure de nouvelles connaissances et fait progresser notre compréhension de la neurobiologie de la schizophrénie, ce qui peut aider à améliorer le traitement et la gestion de la maladie», affirme le Dr Serdar Dursun, professeur de psychiatrie et de neurosciences de l’université de l’Alberta. «Nous avons découvert un nombre important de connexions anormales dans le cerveau qui peuvent être explorées dans le cadre d’études futures et grâce aux modèles créés par l’IA, nous franchissons un pas de plus vers la découverte de tendances objectives basées sur la neuroimagerie qui sont des marqueurs de diagnostics et de pronostics de la schizophrénie.»
Dans l’article les chercheurs ont analysé des données anonymisées d’imagerie par résonance magnétique fonctionnelle (IRMf) à partir de l’ensemble de données ouvert du Function Biomedical Informatics Research Network (fBIRN) , chez des patients atteints de schizophrénie et de troubles schizo-affectifs, de même que chez un groupe témoin en santé. L’IRMf mesure l’activité du cerveau par des échanges de flux sanguin dans des zones précises du cerveau. Plus particulièrement, l’ensemble de données du fBIRN reflète la recherche effectuée sur les réseaux cérébraux à différents niveaux de résolution à partir de données recueillies alors que les participants à l’étude effectuaient un test auditif commun. En examinant les scanographies de 95 participants, les chercheurs ont utilisé des techniques d’apprentissage automatique afin d’élaborer un modèle de schizophrénie qui détermine les connexions dans le cerveau qui sont le plus souvent associées à la maladie.
Ici, nous voyons les régions du cerveau qui montraient une différence statistiquement importante entre les patients atteints de schizophrénie et les patients qui ne le sont pas. Par exemple, la flèche 1 identifie la circonvolution frontale ascendante, ou le cortex moteur, et la flèche 5 indique le précuneus qui touche le traitement de l’information visuelle.
Les résultats de la recherche d’IBM et de l’Université de l’Alberta ont démontré que même avec les données de neuroimagerie les plus complexes recueillies de différents sites (de machines différentes, de différents groupes de sujets, etc.), l’algorithme d’apprentissage automatique était en mesure de faire une discrimination entre les patients atteints de schizophrénie et ceux du groupe témoin avec une précision de 74 % en utilisant les corrélations dans l’activité des différentes zones du cerveau.
De plus, la recherche a montré que la connectivité du réseau fonctionnel peut aussi aider à déterminer la gravité de plusieurs symptômes après leur manifestation chez le patient, y compris l’inattention, les comportements bizarres et le trouble de la pensée formel, de même que l’alogie (discours pauvre) et le manque de motivation. La prédiction de la gravité des symptômes peut mener à une caractérisation de la schizophrénie plus quantitative axée sur des mesures, en voyant la maladie sur un spectre, plutôt que par une étiquette binaire d’un diagnostic ou d’une absence de diagnostic. Cette approche d’analyse de la gravité objective et axée sur les données pourrait finalement aider les cliniciens à définir des plans de traitement personnalisés.
«L’objectif ultime de ces travaux de recherche est de déterminer et d’élaborer des mesures objectives et axées sur les données afin de définir les états mentaux et de les appliquer à des troubles psychiatriques et neurologiques», affirme Ajay Royyuru, vice-président, Santé et sciences de la vie, groupe Recherche IBM. «Nous espérons également offrir de nouvelles connaissances sur la façon dont l’IA et l’apprentissage automatique peuvent être utilisés afin d’analyser les troubles psychiatriques et neurologiques et d’aider les psychiatres à évaluer et à traiter les patients.»
L’initiative pour la recherche en critères par domaine (RDoC) du NIMH est axée sur l’importance des mesures objectives en psychiatrie. Ce domaine, souvent comparé à la «psychiatrie informatique», vise à utiliser la technologie moderne et des approches axées sur les données afin d’améliorer la prise de décision médicale fondée sur des faits en psychiatrie, laquelle se base souvent sur des approches d’évaluation subjective.
Dans le cadre du partenariat en cours, les chercheurs continueront d’étudier les zones et les connexions dans le cerveau qui ont un lien important avec la schizophrénie. Les travaux d’amélioration des algorithmes en menant des analyses par l’apprentissage automatique sur des ensembles de données plus vastes et en explorant des moyens d’élargir ces techniques vers d’autres troubles psychiatriques comme la dépression ou de trouble de stress post-traumatique continueront.
Autres articles
-
IBM annonce Decision Intelligence, une solution basée sur l'IA générative pour automatiser les décisions critiques des entreprises
-
IBM annonce aujourd'hui les résultats de l’édition 2025 de son rapport annuel "Cost of a Data Breach" sur les coûts liés à une violation de données
-
En France, 70 % des organisations auront un Chief AI Officer d’ici deux ans
-
IBM accélère la révolution de l'IA générative d’entreprise avec des capacités hybrides
-
Étude IBM : Les dirigeants accentuent leur engagement en matière d'IA tout en faisant face aux défis de l'entreprise







